Alimentele ultraprocesate și impactul lor asupra calității musculare: descoperiri surprinzătoare dintr-un studiu recent
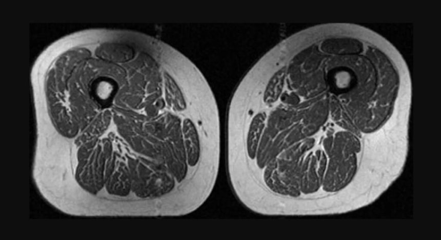
Un studiu recent, bazat pe scanări RMN efectuate pe peste 600 de persoane, a dezvăluit o legătură semnificativă între consumul de alimente ultraprocesate și creșterea grăsimii intramusculare. Imaginile obținute au arătat mușchi cu aspectul unei „fripturi marmorate”, datorită stratelor subțiri de grăsime infiltrate printre fibrele musculare. Această descoperire alarmantă sugerează că degradarea calității musculare poate începe înainte de apariția simptomelor vizibile, conform CNN.
Efectele negative ale grăsimii infiltrate asupra mușchilor includ reducerea capacității de regenerare și scăderea forței musculare. Pe termen lung, acest proces poate contribui la dezvoltarea unor afecțiuni precum osteoartrita genunchiului. De exemplu, mușchii coapselor sunt cruciali pentru menținerea stabilității articulațiilor, iar slăbirea lor poate crește presiunea asupra genunchilor, mai ales în cazul persoanelor supraponderale. Experții avertizează că această degradare nu se limitează la o singură zonă a corpului, ci poate afecta mai multe grupe musculare, indicând un proces sistemic.
Un aspect important evidențiat de studiu este că efectul negativ nu este determinat neapărat de aportul total de calorii. Participanții care consumau mai multe alimente ultraprocesate prezentau un nivel crescut de grăsime intramusculară, indiferent de numărul total de calorii consumate. Acest lucru sugerează că tipul de alimente consumate joacă un rol esențial în sănătatea musculară, nu doar cantitatea.
Alimentele ultraprocesate, precum băuturile zaharoase, dulciurile, cerealele rafinate sau snacksurile industriale, sunt deja asociate cu riscuri crescute de obezitate, diabet, boli cardiovasculare și depresie. Noul studiu adaugă pe lista de efecte negative și impactul asupra calității musculare, un aspect adesea neglijat, dar esențial pentru sănătatea pe termen lung.
Cercetătorii subliniază că consecințele negative nu sunt ireversibile. Reducerea consumului de alimente ultraprocesate și adoptarea unui stil de viață activ pot îmbunătăți calitatea musculară. Exercițiile cu impact redus, precum mersul sau înotul, sunt recomandate pentru protejarea articulațiilor, în timp ce o dietă echilibrată poate contribui la reducerea grăsimii din mușchi. Deși studiul nu stabilește o relație directă de cauzalitate, asocierea puternică identificată ridică întrebări importante cu privire la efectele pe termen lung ale alimentației moderne.
Studiul a subliniat că grăsimea infiltrată în mușchi poate afecta serios capacitatea acestora de a se regenera, având un impact negativ asupra forței musculare. De asemenea, s-a constatat că această problemă poate apărea chiar și la persoane fără semne evidente de osteoartrită, indicând o degradare musculară prezentă înainte de manifestarea simptomelor clinice.
Specialiștii atrag atenția asupra faptului că mușchii coapselor sunt esențiali pentru menținerea stabilității articulațiilor, iar slăbirea acestora poate duce la creșterea presiunii asupra genunchilor, în special în cazul indivizilor cu exces ponderal. De asemenea, se remarcă că degradarea musculară nu se limitează la o anumită regiune a corpului, ci poate afecta diverse grupe musculare, semnalând o deteriorare sistemică.
Unul dintre aspectele relevante ale cercetării este că impactul negativ nu este condiționat exclusiv de numărul total de calorii consumate. Participanții care aveau un regim bogat în alimente ultraprocesate prezentau un nivel mai ridicat de grăsime intramusculară, indiferent de aportul caloric global. Această constatare sugerează că tipul de alimente consumate joacă un rol crucial în sănătatea musculară, nu doar cantitatea consumată.
Alimentele ultraprocesate, incluzând băuturile îndulcite, dulciurile, cerealele procesate sau gustările industriale, sunt deja corelate cu un risc crescut de obezitate, diabet, afecțiuni cardiovasculare și depresie. Studiul recent aduce în discuție și impactul negativ asupra calității musculare, un aspect adesea ignorat, dar esențial pentru bunăstarea pe termen lung.
Experții subliniază că consecințele nu sunt iremediabile. Prin reducerea consumului de alimente ultraprocesate și adoptarea unui stil de viață activ, se poate îmbunătăți sănătatea musculară. Activitățile fizice cu impact redus, precum plimbările sau înotul, sunt recomandate pentru protejarea articulațiilor, în timp ce o alimentație echilibrată poate contribui la scăderea grăsimii din mușchi. Deși nu există o legătură directă de cauzalitate demonstrată de studiu, asocierea semnificativă identificată ridică întrebări esențiale cu privire la consecințele pe termen lung ale regimului alimentar modern.
